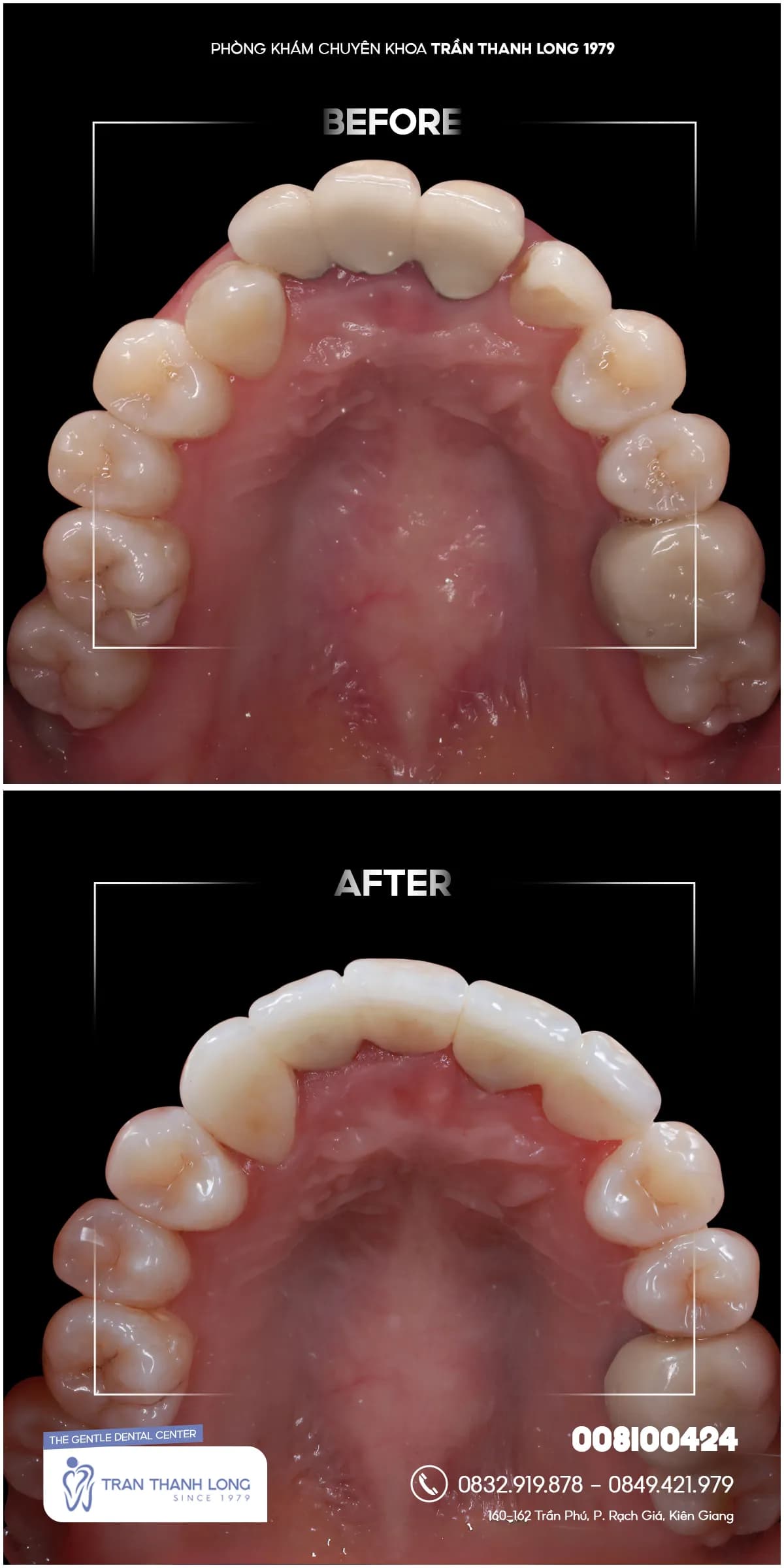
Hành Trình Phục Hình Cố Định Của 008100424
Hình ảnh khác trong quá trình





Các giai đoạn điều trị
Khám phá chi tiết quá trình thay đổi nụ cười
Giai đoạn 1
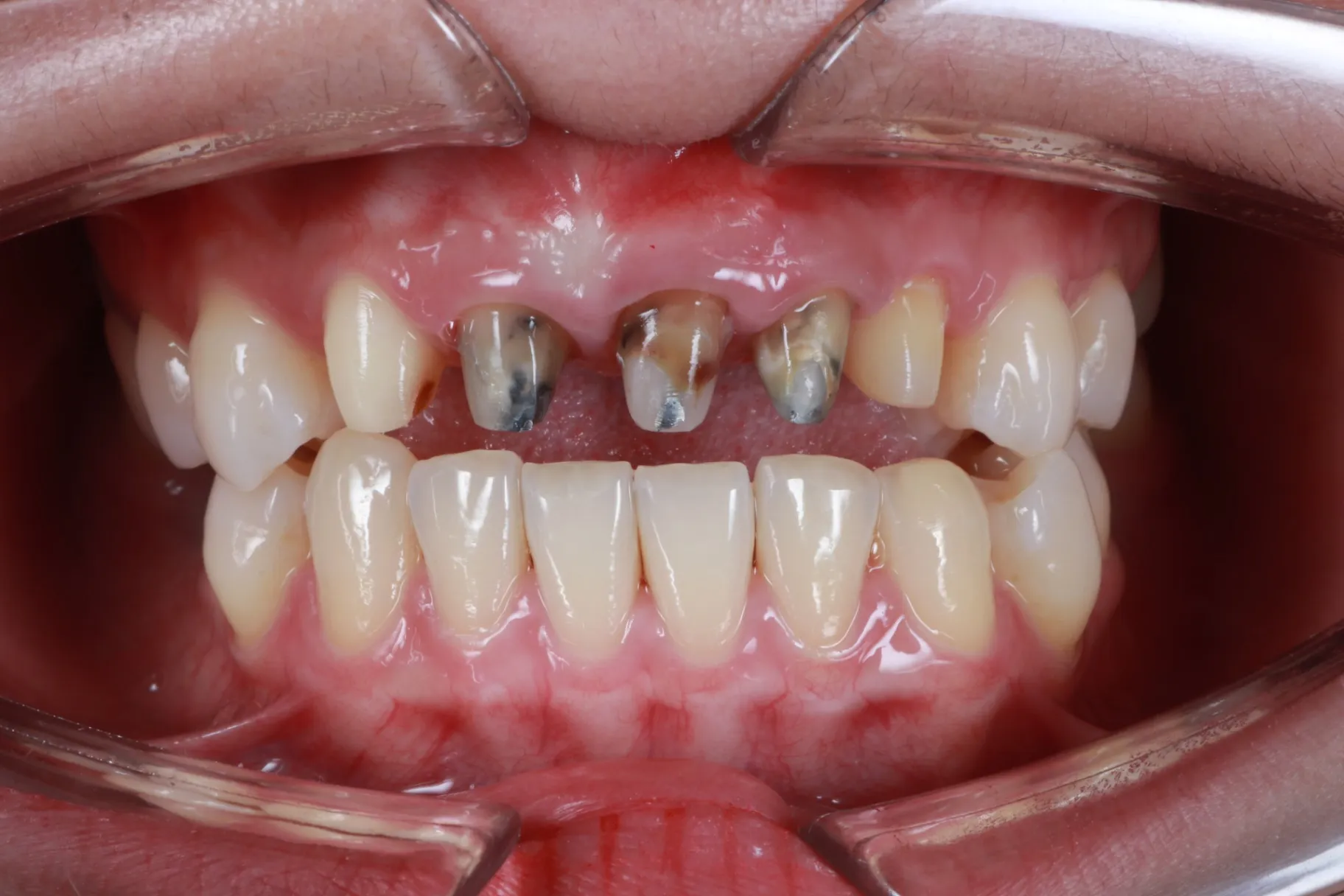
Tình trạng ban đầu
Thăm khám & Chẩn đoán
Viêm nướu
Mất răng
Răng lệch lạc
Cười hở lợi
Viêm tuỷ R23
Bệnh nhân mong muốn phục hình răng sứ cố định hàm trên các răng 12, 11, 21, 22, 23.
Giai đoạn 2
Lấy dấu sơ khởi & Thiết kế
Lấy dấu răng chuẩn bị dữ liệu thiết kế
Scan Itero
Chụp ảnh
Lấy dấu Alginate sơ khởi
Lên thiết kế
Giai đoạn 3
Cắt nướu
Cắt nướu để cải thiện tình trạng cười hở lợi
Cắt nướu vùng răng R11, 21, 22
Đợi lành cắt chỉ
Giai đoạn 4
Điều trị tuỷ
Điều trị nhiễm trùng tuỷ trước khi phục hình
Lấy tuỷ
Đặt thuốc
Bít ống tuỷ
Giai đoạn 5
Mài răng & Scan kỹ thuật số
Mài nhỏ răng theo chỉ định của phác đồ
Mài răng 12, 11, 21, 22, 23.
Lấy dấu răng 2 hàm 3Shape 3D

Giai đoạn 6
Gắn răng & Điều chỉnh
Gắn răng cố định và điều chỉnh các vị trí cộm
Gắn răng
Đánh bóng
Chỉnh cộm
Chụp phim kiểm tra
Bạn có muốn sở hữu nụ cười rạng rỡ tương tự?
Đặt Lịch Ngay
