Phục hồi sinh học
Trải nghiệm trám răng Phục Hồi Sinh Học tại TTL1979. Tái tạo răng sâu, vỡ bằng nghệ thuật điêu khắc thủ công, bền đẹp và không thể phân biệt với răng thật.
Dịch Vụ Phục Hồi Sinh Học: Phục Hồi Răng Nghệ Thuật, Tự Nhiên, Bền Bỉ
Bạn tìm kiếm một miếng trám không chỉ bền mà còn phải đẹp hoàn hảo, không thể nhận ra bằng mắt thường? Nha Khoa TTL1979 tự hào giới thiệu Phục Hồi Sinh Học – phương pháp phục hồi răng vỡ nghệ thuật, nơi bác sĩ không chỉ lấp đầy lỗ sâu mà còn điêu khắc nên một tác phẩm mô phỏng tự nhiên, trả lại cho bạn chiếc răng vẹn nguyên như chưa từng tổn thương.

Phục hồi Sinh học là gì?
Phục hồi Sinh học là phương pháp phục hồi răng vỡ nghệ thuật, sử dụng vật liệu sinh học cao cấp được điêu khắc thủ công bên ngoài miệng để tái tạo lại những phần răng bị sâu, vỡ một cách hoàn mỹ, khó phân biệt được với răng thật.

🔖 Thông tin chuyên sâu về phục hồi sinh học : Phục Hồi Sinh Học (Biomimetic): Tìm Hiểu Về Nghệ Thuật Phục Hồi Răng Mẻ Vỡ
Tại Sao Phục Hồi Sinh Học Tại TTL1979 Là Sự Lựa Chọn Hoàn Hảo?
Thẩm mỹ đỉnh cao, "tàng hình" tuyệt đối: Mỗi miếng trám là một tác phẩm nghệ thuật được điêu khắc thủ công, tái tạo chính xác từng vân rãnh, màu sắc và hiệu ứng ánh sáng y hệt men răng thật.
Bền vững & an toàn: Sử dụng vật liệu Composite Sinh học cao cấp, được xử lý nhiệt để đạt độ cứng và độ bền vượt trội, an toàn và tương thích hoàn toàn với cơ thể.
Bảo tồn răng thật tối đa: Với triết lý "mô phỏng tự nhiên", chúng tôi chỉ loại bỏ mô răng bị nhiễm khuẩn, giữ lại tối đa cấu trúc răng khỏe mạnh quý giá của bạn.
Khít sát hoàn hảo, ngừa sâu tái phát: Miếng trám được chế tác bên ngoài, loại bỏ hoàn toàn vấn đề co ngót vật liệu, đảm bảo mối nối kín kẽ, ngăn ngừa vi khuẩn xâm nhập.
Vật Liệu Đột Phá - Linh Hồn Của Phục Hồi Sinh Học
Chúng tôi sử dụng vật liệu Composite Sinh học thế hệ mới, chứa các hạt độn gốm sứ siêu mịn. Sau khi được điêu khắc và xử lý nhiệt trong lò chuyên dụng, vật liệu này đạt được các đặc tính ưu việt:
Độ bền uốn và chống mài mòn vượt trội so với trám thông thường.
Hiệu ứng quang học (độ trong, độ huỳnh quang) y hệt men răng tự nhiên.
Độ tương thích sinh học rất cao, an toàn tuyệt đối cho nướu và mô mềm.
Quy Trình Điêu Khắc Tinh Xảo Tại TTL1979
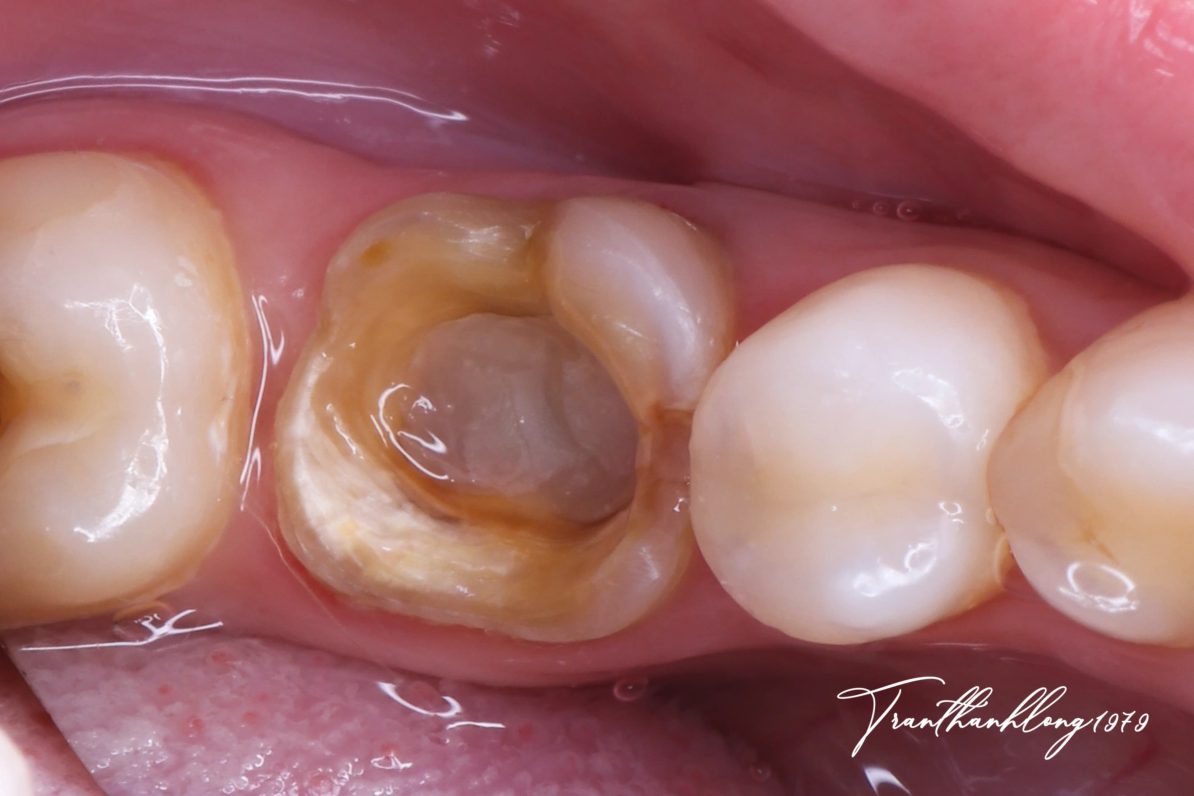
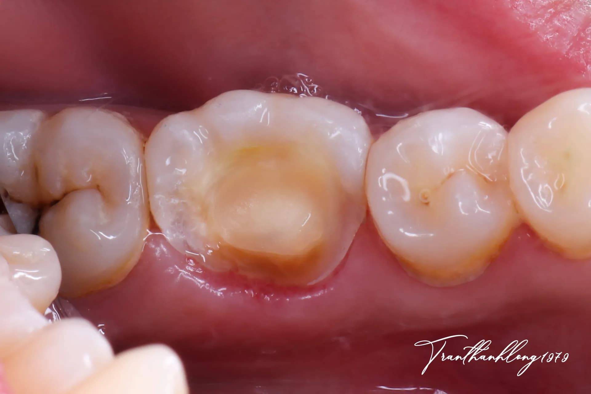
Buổi hẹn 1: Thăm khám, chuẩn bị & lấy dấu: Bác sĩ nhẹ nhàng loại bỏ phần răng sâu, sửa soạn và lấy dấu chính xác để tạo ra mẫu hàm thạch cao.
Giai đoạn chế tác (2-3 ngày): Đây là giai đoạn nghệ thuật. Trên mẫu hàm, bác sĩ hoặc kỹ thuật viên sẽ tỉ mỉ điêu khắc miếng trám từ vật liệu Composite Sinh học, sau đó xử lý nhiệt để đạt độ bền tối ưu.
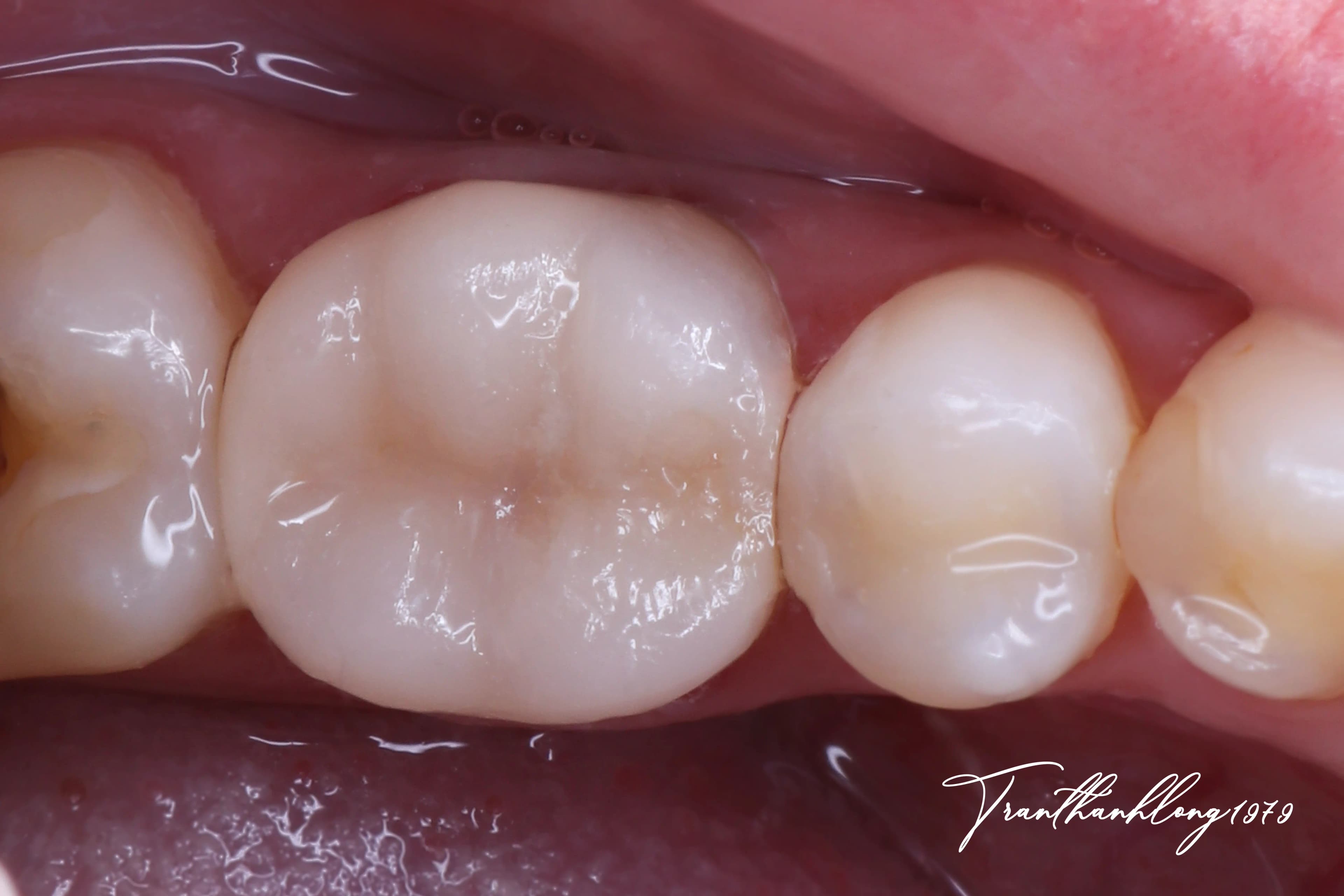
Buổi hẹn 2: Gắn & hoàn tất tác phẩm: Miếng trám hoàn hảo sẽ được thử, kiểm tra và gắn vĩnh viễn vào răng của bạn bằng hệ thống keo dán sinh học, sau đó được đánh bóng để đạt độ tự nhiên hoàn hảo.
Chi Phí Đầu Tư Cho Một Tác Phẩm Nghệ Thuật
Phục Hồi Sinh Học là một khoản đầu tư cho sự hoàn hảo và bền vững. Chi phí sẽ cao hơn các phương pháp trám thông thường.
Chi phí phục hồi sinh học tại TTL1979 khởi điểm từ 1.500.000VNĐ tuỳ thuộc vào tình trạng mẻ vỡ, độ khó, độ lớn và vị trí răng. Chi phí này phản ánh thời gian, tay nghề tỉ mỉ của bác sĩ/kỹ thuật viên và giá trị của vật liệu cao cấp.
Hãy liên hệ với chúng tôi để được tư vấn chi tiết về khoản đầu tư xứng đáng này.
Cam Kết Của Nha Khoa TTL1979
Mỗi phục hồi là một tác phẩm nghệ thuật độc bản, được chăm chút tỉ mỉ.
Bảo tồn tối đa mô răng thật, tuân thủ nghiêm ngặt triết lý "phục hồi tự nhiên".
Sử dụng 100% vật liệu Composite Sinh học chính hãng, cao cấp.
Bảo hành dài hạn cho độ bền và thẩm mỹ của phục hồi.
Nếu bạn không chỉ tìm kiếm một miếng trám, mà là một tác phẩm nghệ thuật có thể tồn tại bền vững trên nụ cười của mình, Phục Hồi Sinh Học chính là câu trả lời.
Bạn cần thông tin chuyên sâu hơn về Phục hồi sinh học? Đặt lịch hẹn để được tư vấn miễn phí.
Đặt Lịch NgayCâu Hỏi Thường Gặp (FAQ)
Quá trình làm có đau không?
Không. Quá trình chuẩn bị răng rất nhẹ nhàng vì chỉ can thiệp rất ít vào mô răng và sẽ được gây tê nếu cần. Phần lớn thời gian là thiết kế và xử lý bên ngoài nên bạn sẽ rất thoải mái.
Phục hồi sinh học này có bền không?
Rất bền. Nhờ được chế tác thành một khối đặc và xử lý nhiệt, miếng trám có độ cứng và khả năng chống mài mòn vượt trội, với tuổi thọ có thể trên 10 năm.
So với trám răng kỹ thuật số CAD/CAM thì phương pháp này khác gì?
Phương pháp này vượt trội hơn về tính nghệ thuật và khả năng tùy biến thẩm mỹ. Nếu CAD/CAM tạo ra sự hoàn hảo của máy móc, thì Phục Hồi Sinh Học tạo ra sự hoàn hảo của đôi tay nghệ nhân, phù hợp cho những ai có yêu cầu cao nhất về vẻ đẹp tự nhiên.
Mất bao lâu để hoàn tất một ca Phục Hồi Sinh Học?
Thông thường mất khoảng 2-3 ngày với 2 buổi hẹn tại nha khoa để đảm bảo đủ thời gian cho quá trình thiết kế và xử lý vật liệu một cách tỉ mỉ nhất.
Đối với tôi, mỗi ca phục hồi sinh học là một thử thách nghệ thuật. Nó không đơn thuần là kỹ thuật, mà là sự cảm nhận về hình thể, màu sắc và ánh sáng. Nhìn thấy bệnh nhân không thể tìm ra đâu là răng thật, đâu là miếng trám, đó chính là phần thưởng lớn nhất cho sự tỉ mỉ của mình.