Hành Trình Phục Hình Cố Định Của 004291123
Hình ảnh khác trong quá trình



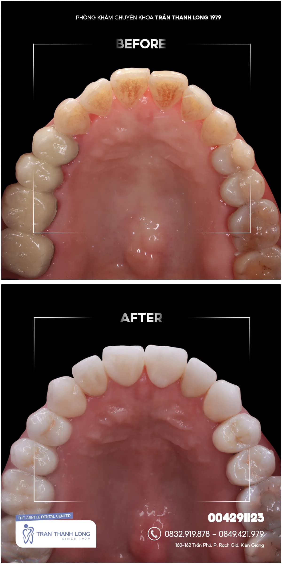
Các giai đoạn điều trị
Khám phá chi tiết quá trình thay đổi nụ cười
Giai đoạn 1
Thăm khám & Chẩn đoán
Xác định tình trạng ban đầu
Khớp cắn đối đầu
Vôi răng
Mất răng
Nhiễm trùng tuỷ R12, 11
Bệnh nhân mong muốn phục hình răng sứ cố định toàn hàm để cải thiện thẩm mỹ.
Giai đoạn 2
Điều trị tuỷ
Điều trị nhiễm trùng tuỷ trước khi phục hình
Lấy tuỷ
Đặt thuốc
Bít ống tuỷ
Giai đoạn 3
Lấy dấu sơ khởi & Thiết kế
Lấy dấu răng chuẩn bị dữ liệu thiết kế
Scan Itero
Chụp ảnh
Lấy dấu Alginate sơ khởi
Lên thiết kế
Giai đoạn 4
Mài răng & Scan kỹ thuật số
Mài nhỏ răng theo chỉ định của phác đồ
Mài răng toàn hàm
Lấy dấu răng 2 hàm 3Shape 3D

Giai đoạn 5
Gắn răng & Điều chỉnh
Gắn răng cố định và điều chỉnh các vị trí cộm
Gắn răng
Đánh bóng
Chỉnh cộm
Chụp phim kiểm tra
Bạn có muốn sở hữu nụ cười rạng rỡ tương tự?
Đặt Lịch Ngay
