Nhà sáng lậpTrần Thanh Long
Là một trong những người đặt nền móng cho ngành nha khoa tại địa phương – trở thành một trong những hệ thống nha khoa lâu đời nhất Việt Nam, bác Trần Thanh Long không chỉ mang sứ mệnh của người thầy thuốc, mà còn là biểu tượng của tinh thần tiên phong và y đức bền bỉ qua thời gian.

Về Nhà sáng lập Trần Thanh Long
Triết lý làm nghề: Trải qua nửa thế kỷ tận hiến, bác không đơn thuần điều trị bằng kỹ thuật, mà bằng cả trái tim và trách nhiệm của một người gìn giữ giá trị từng bước dẫn dắt khách hàng quan tâm đến chăm sóc răng miệng - một trong các yếu tố ảnh hưởng đến sức khoẻ mạnh mẽ nhất mà ít người chú ý tới trong bối cảnh đất nước còn rất khó khăn sau giải phóng. Mỗi bệnh nhân đối với bác là một người thân, mỗi ca lâm sàng là một tác phẩm được chăm chút tỉ mỉ với tôn chỉ: " Nơi y đức gia đình kiến tạo nụ cười di sản".
Thời điểm hiện tại bác Long không còn chịu trách nhiệm chính trong điều trị mà lui về sau làm hậu phương, cố vấn cho thế hệ bác sĩ mới cũng là những người con tài năng của bác, được bác truyền thụ và đào tạo từ khi còn niên thiếu đến nay đã trở thành những bác sĩ ưu tú và tiếp tục hành trình phụng sự khách hàng.
Lĩnh vực chuyên sâu
Phục hình thẩm mỹ
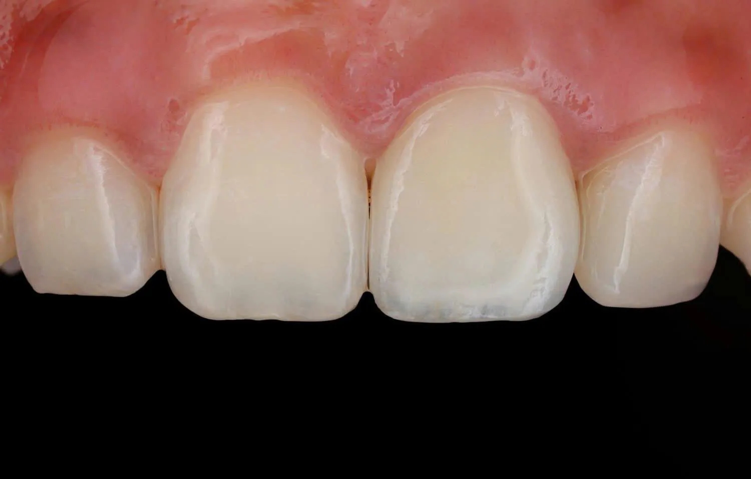
Bác Long có kinh nghiệm lâu năm trong phục hình sứ thẩm mỹ, trong suốt quá trình công tác bác Long đã mang đến nụ cười cho hàng chục nghìn ca từ dễ đến khó.
Phục hình tháo lắp
Hàm giả tháo lắp là một trong các thế mạnh của bác Long, cải thiện khả năng ăn nhai hiệu quả, đặc biệt là những khách hàng lớn tuổi.
Quá trình phát triển
Chuyên khoa Răng Hàm Mặt tại Sài Gòn (Trước giải phóng)
Trước năm 1975 : Đào tạo, học tập và làm việc tại Sài Gòn (cũ), chuyên ngành nha khoa.
Năm 1976 : Công tác ở khoa Răng Hàm Mặt tại Bệnh Viện Sa Đéc (Đồng Tháp).
Năm 1979 : Tiên phong mở ra nha khoa Trần Thanh Long, thế hệ nha khoa đầu tiên tại Kiên Giang nói riêng và tại Việt Nam nói chung. Toạ lạc tại phường Vĩnh Thanh Vân, TP Rạch Giá, Kiên Giang (cũ) nay thuộc Phường Rạch Giá, An Giang. Trong suốt 47 năm phòng khám ngày càng phát triển lớn mạnh đến nay.
Thư viện nghệ thuật
Không chỉ là thẩm mỹ mà còn là nghệ thuật.








